
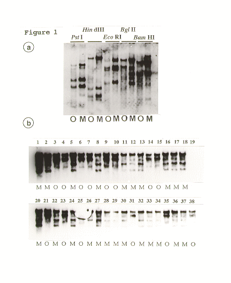
Figure 1. RFLP of the calmodulin gene in the Mauriceville-1c-A strain (M), the Oak Ridge-derived parent multicent-2a strain (O), and in 38 progeny. a) The profile of RFLPs of the calmodulin gene in "M" and "O" strains. DNA was digested by various restriction enzymes as indicated above each lane. The type of strain is indicated below each lane. Polymorphism was observed only when DNA was digested by BglII. b) The profile of RFLPs of the calmodulin gene in the 38 progeny (see text). The DNA isolated from these progeny was digested by BglII. The phenotype of the inheritance of each progeny is indicated below each lane. The phenotype of the strain that corresponded to lane 19 was not determined (see text).